Стоматологическая практика в Брешии - доктор Ирина Гараева

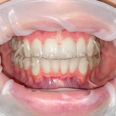
Прозрачные зубные пластинки в Брешии

Невидимое ортодонтическое лечение для взрослых и подростков

В стоматологической клинике Garaeva в Брешии к ортодонтии всегда подходят с умом.’эстетика, функциональность и общее благополучие пациента. Наряду с более “классическими” решениями, предполагающими использование несъемных брекетов, мы можем предложить более эстетичные и современные ортодонтические решения, которые особенно ценятся взрослыми пациентами.

Невидимая ортодонтия: осознанный и индивидуальный выбор

Наиболее популярным вариантом для тех, кто хочет улучшить свою улыбку, не мешая социальной или профессиональной жизни, является лечение с помощью прозрачные выравниватели. К ним относятся сменные маски и практически незаметен, индивидуальный дизайн для постепенного, мягкого и хорошо предсказуемого продвижения зубов к правильному положению. Они не только удобны в ношении, но и позволяют подойти к ортодонтическому процессу незаметно и естественно.

В Брешии мы являемся точкой отсчета для всех желающих пройти эстетическое ортодонтическое лечение: благодаря’клинический опыт, на цифровые технологии и сотрудничество с ведущими лабораториями В ортодонтии каждый пациент - взрослый или подросток - получает план лечения, составленный с учетом его потребностей.

Невидимые альгеры - осознанный выбор - Стоматологическая практика в Брешии - доктор Ирина Гараева

Когда целесообразно проводить ортодонтическое обследование

Существуют признаки, которые могут свидетельствовать о необходимости ортодонтического обследования, например, наличие кривые зубы, поворачиваются или расходятся, боль в нижнечелюстном суставе, затрудненное жевание, скученность зубов, аномальный износ зубов или проблемы осанки, связанные с положением челюсти. Но часто даже при отсутствии явных симптомов обследование у специалиста позволяет выявить “тихие” проблемы, которые можно эффективно устранить.

Как мы ставим диагноз

В нашей студии каждое путешествие начинается с углубленная междисциплинарная диагностика. Помимо клинического осмотра, мы снимаем цифровые слепки с помощью интраорального сканера, делаем цифровые рентгеновские снимки, изучаем профиль лица и улыбку, проводим функциональную оценку челюстного сустава и осанки. Это позволяет нам составить точный и индивидуальный план лечения, в синергии с ортодонтической лабораторией.

БОИТЕСЬ СТОМАТОЛОГА?
РАССЛАБЬТЕСЬ: У НАС ЕСТЬ СОЗНАТЕЛЬНАЯ СЕДАЦИЯ

Седация в сознании - это совершенно безболезненная и абсолютно безопасная методика, которая помогает пациенту расслабиться во время процедуры, не теряя при этом ясности сознания. Она может применяться для любой стоматологической процедуры, более или менее инвазивной, для лечения фобий или тревожных пациентов, а также тех, кому предстоит пройти длительное и сложное лечение.

Невидимые альгеры для взрослых - Стоматологическая практика в Брешии - доктор Ирина Гараева

Лечение с помощью прозрачных пластин для взрослых

Прозрачные корректоры - идеальное решение для тех, кто ищет незаметное, эффективное лечение, совместимое с профессиональной деятельностью, общественной жизнью и отношениями. L’ортодонтия для взрослых Однако это требует тщательного подхода, учитывающего не только положение зубов, но и состояние пародонта, наличие протезов, жевательную функцию и гармонию лица. 

Во многих случаях их можно использовать и при наличии протезов, мостов или коронок. Однако прежде чем приступить к работе, необходимо оценка стабильности тканей пародонта и отсутствия заболеваний суставов. Лечение может длиться от 6 до 24 месяцев, с периодическими проверками для контроля прогресса. 

В конце проводится фаза сдерживания, чтобы стабилизировать результаты. 

Прозрачные выравниватели для мальчиков: когда они показаны

Сайт невидимые выравниватели могут быть реальной альтернативой традиционным брекетам даже для молодых пациентов, особенно в подростки у которых завершилось формирование постоянных зубов. В этих случаях очень важно, чтобы мальчик или девочка хорошо сотрудничали, так как эффективность лечения зависит от правильного ежедневного использования масок.

Этот вариант часто выбирают те, кто хочет, чтобы лечение было менее заметным, чем классические металлические брекеты, особенно в школьных или спортивных учреждениях. Для подростков можно изготовить индивидуальные альгеры с показатели использования (индикаторы износа), которые помогают ортодонту и родителям следить за постоянством их ношения. Длительность и сложность лечения всегда определяются после тщательного клинического анализа, также с учетом скелетного роста, который еще продолжается.

Как проходит лечение с помощью прозрачных выравнивателей

Лечение основано на применении последовательности прозрачные и съемные выравниватели, каждый из которых Носить около 10-14 дней. Каждый шаблон немного отличается от предыдущего и производит микросдвиги зубов, следуя цифровой траектории, основанной на плане лечения. 

Алигеры необходимо носить в течение не менее 20-22 часов в день и снимаются только для приема пищи и чистки зубов. Главное преимущество заключается в том, что весь процесс максимально индивидуализирован: от формы и размера альгераторов до продолжительности и частоты осмотров. Благодаря цифровому подходу можно также прогнозирование конечного результата перед началом занятий, чтобы иметь четкое и конкретное представление о курсе ортодонтии.

Каких преимуществ вы можете добиться с помощью масок-невидимок?

  • Высокий уровень комфорта, отсутствие проводов и металлических соединений
  • Возможность снимать их для гигиены полости рта и приема пищи
  • Безупречная эстетика благодаря почти невидимым маскам
  • Не мешать занятиям спортом, музыкой или общественной жизни
  • Цифровая разработка и индивидуальные процедуры
Улыбка, к которой вы стремитесь. Результат, которого вы заслуживаете. - Стоматологическая практика в Брешии - доктор Ирина Гараева
Стоматологическая практика Гараева

Улыбка, к которой вы стремитесь. Результат, которого вы заслуживаете.